How do you know if you’re 6 weeks pregnant with TWINS? Learn the symptoms at 6 weeks and find out what to do next if you are really having twins!
Welcome to Twiniversity. If you found us through an internet search, or were told by one of your twin parent BFFs, you have come to right place.
Twiniversity is the world’s leading resource for parents of twins. Our info is sourced not only from our outstanding Twin Mom Squad, but also from thousands of twin families around the globe.
You’ll find that Twiniversity is all about US…the universal twin parent “us”. We created a place for families to read, learn, and laugh about this wild ride called twins!
We know you might be ecstatic, scared, anxious, happy, confused, joyful, petrified, over the moon or somewhere in between, but rest assured, we got ya covered!
Facebook | Instagram | YouTube | Twitter | Pinterest
⬅ 5 Weeks Pregnant with Twins 👶👶
👶👶 7 Weeks Pregnant with Twins ➡
- 6 Weeks Pregnant Video
- Belly Photos – 6 Weeks Pregnant With Twins
- What Does an Ultrasound Look like at 6 Weeks Pregnant With Twins?
- Symptoms – 6 Weeks Pregnant With Twins
- Baby Development – Weeks 5-8
- Signs of Having Twins at 6 Weeks
- Articles You Should Read This Week
- Is It Common to Have Cramping at 6 Weeks Pregnant With Twins?
- How Early Can You Tell if You’re Having Twins?
- How Soon Can You Tell if You Are Pregnant With Twins?
- How Did You Feel at 6 Weeks Pregnant With Twins?
6 Weeks Pregnant Video
Belly Photos – 6 Weeks Pregnant With Twins
Check out these mommas and their 6 weeks pregnant with twins belly!








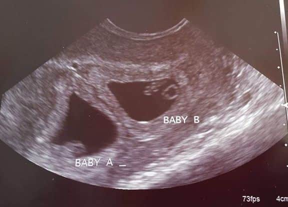
What Does an Ultrasound Look like at 6 Weeks Pregnant With Twins?
















Symptoms – 6 Weeks Pregnant With Twins
- Frequent urination. During pregnancy, the amount of blood in your body increases, and even more so when carrying twins versus just one baby. As your kidneys process this additional fluid, more fluid ends up in your bladder, meaning more bathroom runs than usual for you! Don’t drink less water; staying hydrated is important, especially during pregnancy.
- Fatigue. As your hCG and progesterone hormone levels increase, you might be more worn out than usual. Try to rest when you can.
- Nausea and vomiting. It may be a little soon, but some moms-to-be start to experience morning sickness about a month after fertilization and sometimes before. When you’re pregnant with twins, morning sickness can be more severe than with a singleton pregnancy, but this is not always the case.
Baby Development – Weeks 5-8
- Two heartbeats. Each baby’s heart is beginning to form and may start to beat.
- The brain and spinal cord start to form. Around six weeks, each baby’s spinal cord and brain start to develop from their own neural tube.
- Little arms and legs sprout. By eight weeks pregnant with twins, your babies will have buds for limbs that look like little paddles.
- All major organs take shape. By the end of eight weeks, all your babies’ major organs, including the lungs and genitals, will have started to develop.
Signs of Having Twins at 6 Weeks
- Higher-than-normal levels of hCG may indicate that you’re pregnant with multiples, but you’ll need to wait until your ultrasound for 100% certainty.
- Common early pregnancy symptoms of fatigue, frequent urination, breast tenderness, and food cravings are extra EXTRA — your symptoms are WAY more severe than what is normal for a singleton pregnancy
- Due to elevated levels of pregnancy hormone hCG, women carrying multiples may have more nausea and vomiting than those carrying only one baby
- Your growing faster-than-normal 6 weeks pregnant with twins belly may tip you off. But if you’ve never been pregnant before you don’t have anything to compare it to.
- If you have any of the following conditions you may have greater risk of twin pregnancy: Family history of fraternal twins, fertility treatments like in vitro fertilization (IVF), mother is of dvanced maternal age (over 35 years old), BMI over 30, above average maternal height, or you’ve had previous pregnancies
Articles You Should Read This Week
At this point you may not know for sure that you’re having twins, you may just know that you are pregnant and you have a really good hunch that you’re having twins. Or you’re here because you had a really early ultrasound and were shocked to find out you’re 6 weeks pregnant with twins! Either way, we are glad you’re here! But it is SO EARLY in your pregnancy that there’s not a ton of information to share with you just yet…
BUT that doesn’t mean we can’t share with you some articles that will help you to start THINKING about what a twin pregnancy will mean. When you’re pregnant with twins knowledge is power and we are big fans of learning over here!
You can read about a mom who had a totally boring and easy twin pregnancy and delivery experience.
Are you scared of giving birth to twins? We got you.
Feeling anxious now that you’re pregnant after infertility? Read this.
Do you want to keep the sexes of your twins a secret until after the birth? Find out how this mom did it.
Need somewhere quick to start? Check out the twin pregnancy calendar.
Having trouble coming to terms with your twin pregnancy? You’re not alone. Read this.
Starting to think about your twin baby shower? Here are our top twin baby shower themes and games.
What was your partner’s reaction to “IT’S TWINS!” Find out how our Twiniversity partners reacted when they found out the news about their twins.
Are you having identical twins? Make sure to read this ASAP.
Are you wondering which pregnancy products you should invest in during your twin pregnancy? Check out our list of must-have pregnancy products you need to buy right now!
Is It Common to Have Cramping at 6 Weeks Pregnant With Twins?
A good number of moms have reported 6 weeks pregnant cramping with twins. Often the cramping feeling can be described as a pulling sensation, as if there’s a lot of stretching and growing going on in your uterus. But some moms don’t feel a thing! It’s totally random, so if you don’t feel cramping don’t worry — that doesn’t mean anything bad is happening.
However, if the cramping is very painful and there is spotting that may be a sign that something is off. Call your doctor and ask to be seen — they may be able to tell you more after an ultrasound. Just a heads up — just because you’re spotting doesn’t mean you’re having a miscarriage. Early spotting is very common at 6 weeks pregnant with twins and may be a sign of a subchorionic hematoma.about:blank
How Early Can You Tell if You’re Having Twins?
The earliest your doctor would likely order an ultrasound confirming twins would be 4 weeks pregnant. But unless you are going through fertility treatments, doing an ultrasound before 6 weeks isn’t very common, with the exception of complications. Women who are going through fertility treatments or have early complications may be able to have an early twin ultrasound at 4 or 5 weeks pregnant and find out they are pregnant with twins.
At four to five weeks after a pregnant woman’s last period the ultrasound commonly shows a small collection of fluid within the lining of the uterus that represents the early development of the gestational sac. At about five and a half weeks after a pregnant woman’s last period the ultrasound typically shows a gestational sac and within it we can see a 3-5 mm bubble-like structure, which is the yolk sac. At approximately six weeks after a pregnant woman’s last period, we can see a small fetal pole, one of the first stages of growth for an embryo, which develops alongside the yolk sac. UT Southwestern Medical Center

Pregnant with twins and not sure where to start? Visit the Ultimate Twin Pregnancy Guide to find all the top articles and resources to get you ready for twins. While you’re at it, check out our expecting twin classes and Twiniversity shop!
How Soon Can You Tell if You Are Pregnant With Twins?
Yes! You’d need to have an ultrasound at 6 weeks to confirm a twin pregnancy. Your twin belly at 6 weeks may not look like much of a belly at all, so getting in to your doctor for an ultrasound is key to find out if you’re really having twins.
How Did You Feel at 6 Weeks Pregnant With Twins?
At 6 weeks pregnant with twins you’ll feel extra tired because your body is starting to work overtime! You may or may not have nausea at this point. Often nausea doesn’t come on for another week or so. Some moms have reported very early heartburn, as early as 5 weeks pregnant with twins.
Register for Class

Have you taken your expecting twins class yet? We offer a great class on demand so you can take it on your own schedule! There are so many video modules covering everything from your twins’ baby registry to your first week at home with twins! Sign up today to get started before your twins arrive.
⬅ 5 Weeks Pregnant with Twins 👶👶
👶👶 7 Weeks Pregnant with Twins ➡













